Latest Updates
-
ಆರ್ಥಿಕ ದೃಷ್ಟಿಯಿಂದ ಈ ದಿನ ಅನುಕೂಲಕರ! ಪ್ರಣಯ ಜೀವನವು ಸುಖಮಯ -
March 11 Horoscope: ಪ್ರಯಾಣಗಳಲ್ಲಿ ನಿಮಗೆ ಶುಭವಿಲ್ಲ! ಅಪಾಯದ ಮುನ್ಸೂಚನೆ! -
ಎಲ್ಜಿಪಿ ಬಳಸದೆ ನೀರಿನಿಂದ ಅಡುಗೆ ಮಾಡಿ: ರವಿಶಂಕರ್ ಗುರೂಜಿ ವಿಡಿಯೋ ವೈರಲ್ -
ಬೇಸಿಗೆಯ ಉರಿಗೆ ಪೈನಾಪಲ್ ರಸಂ ಮಾಡಿ: ಎಷ್ಟು ಸುಲಭ ಮಾಡೋದು ಗೊತ್ತಾ? -
ಅಕ್ಕಿ ಬೇಡ, ನೆನೆಸೋ ಸಮಯವೂ ಬೇಡ.. ತಕ್ಷಣ ಮಾಡಿ ಈ ದೋಸೆ! ಈ ಟ್ರಿಕ್ ಗೊತ್ತಿದ್ರೆ ಯಾರೂ ಮಾಡಬಹುದು -
ಸುಡು ಬಿಸಿಲಲ್ಲೂ ನಿಮ್ಮ ಮುಖ ಹಾಲಿನಂತೆ ಬೆಳ್ಳಗಾಗುತ್ತೆ! ಕೇವಲ 2 ನಿಮಿಷ ಈ ಮಸಾಜ್ ಸಾಕು.. ಮುಖ ಹೊಳೆಯುತ್ತೆ! -
ಮಾರ್ಚ್ 15ಕ್ಕೆ ರೇವತಿ ನಕ್ಷತ್ರಕ್ಕೆ ಶುಕ್ರ ಸಂಚಾರ: ಈ 4 ರಾಶಿಯವರಿಗೆ ಹೆಚ್ಚಲಿದೆ ಸಂಕಷ್ಟ! -
ಜಿಡ್ಡು ಬೊಜ್ಜು ಬೆಣ್ಣೆಯಂತೆ ಕರಗುತ್ತೆ! ದಿನಾ ಈ ಮ್ಯಾಜಿಕಲ್ ಸೂಪ್ ಕುಡಿಯಿರಿ.. 15 ದಿನಗಳಲ್ಲಿ ಕೊಬ್ಬು ಮಾಯ -
ಮೆಂತ್ಯ ಸೊಪ್ಪಿನ ಮೊಟ್ಟೆ ಪಲ್ಯ: ಊಟ, ತಿಂಡಿಯೊಂದಿಗೆ ಇದು ಬೆಸ್ಟ್! -
ಕಾಲಾಷ್ಟಮಿ 2026: ನಾಳೆ ಕಾಲಾಷ್ಟಮಿ ಆಚರಣೆ, ಶಿವನ ಉಗ್ರವತಾರ ಕಾಲಭೈರವನ ಪೂಜಿಸುವುದು ಏಕೆ?
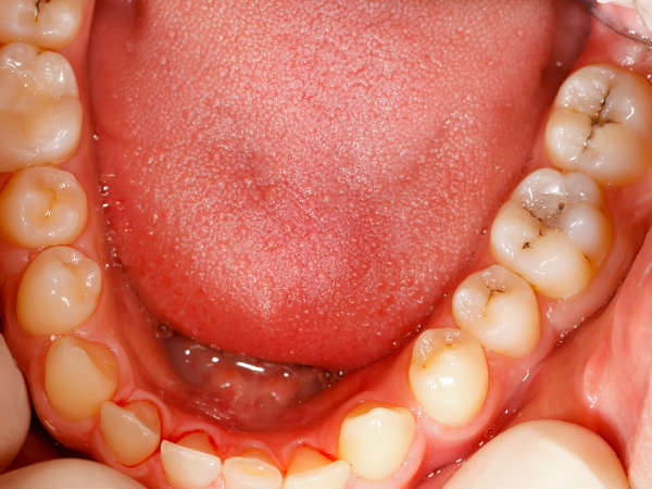
ಬಾಯಿಯ ಕ್ಯಾನ್ಸರ್ ನಿಯಂತ್ರಿಸುವ ಪವರ್ ಇಂತಹ ಆಹಾರಗಳಲ್ಲಿದೆ!
ಬಾಯಿಯ ಕ್ಯಾನ್ಸರ್ ಹೆಚ್ಚಾಗಿ ಮಹಿಳೆಯರಿಗಿಂತ ಪುರುಷರಲ್ಲಿ ಕಾಣಿಸಿಕೊಳ್ಳೂವುದು. ಇದು ಮೊದಲಿಗೆ ಕೆಳಗಿನ ಭಾಗ ಮತ್ತು ನಾಲಗೆಯಲ್ಲಿ ಕಾಣಿಸಿಕೊಳ್ಳುವುದು. ಇದು ತುಂಬಾ ವೇಗವಾಗಿ ಬಾಯಿಯ ಇತರ ಭಾಗಗಳಾಗಿ ರುವಂತಹ ವಸಡು, ಜೊಲ್ಲಿನ ಗ್ರಂಥಿ, ಒಳಗಿನ ಗಲ್ಲ, ಗಂಟಲು, ಟಾನ್ಸಿಲ್ ಮತ್ತು ಅನ್ನನನಾಳಕ್ಕೆ ಕೂಡ ಹರಡುವುದು. ಇದಕ್ಕೆ ಸರಿಯಾದ ಚಿಕಿತ್ಸೆ ನೀಡದೆ ಇದ್ದರೆ ಆಗ ಇದು ಕುತ್ತಿಗೆ, ತಲೆ ಮತ್ತು ದೇಹದ ಇತರ ಭಾಗಗಳಿಗೆ ಕೂಡ ಹರಡುವುದು. ಬನ್ನಿ ಇಂದಿನ ಲೇಖನದಲ್ಲಿ ಬಾಯಿಯ ಕ್ಯಾನ್ಸರ್ ಗೆ ಕೆಲವು ಆಹಾರಗಳ ಬಗ್ಗೆ ನೀಡಿದ್ದೇವೆ, ಮುಂದೆ ಓದಿ....

ಹಸಿರೆಲೆ ತರಕಾರಿಗಳ ಸೇವನೆ
ಅಮೆರಿಕನ್ ಇನ್ ಸ್ಟಿಟ್ಯೂಟ್ ಫಾರ್ ಕ್ಯಾನ್ಸರ್ ರಿಸರ್ಚ್ ಪ್ರಕಾರ ಕ್ಯಾನ್ಸರ್ ವಿರೋಧಿ ತರಕಾರಿಗಳಾಗಿರುವಂತಹ ಹಸಿರೆಲೆ ತರಕಾರಿಗಳು ಮತ್ತು ಎಲೆಕೋಸಿನಂತಹ ತರಕಾರಿಗಳ ಸೇವನೆ ಹೆಚ್ಚು ಮಾಡುವುದರಿಂದ ಕ್ಯಾನ್ಸರ್ ನ್ನು ತಡೆಬಹುದು. ಇದು ಗಡ್ಡೆಯ ಗಾತ್ರವನ್ನು ತಗ್ಗಿಸುವುದು ಮತ್ತು ಅದು ಬೇರೆ ಕಡೆ ಹಬ್ಬದಂತೆ ಹಾಗೂ ಮತ್ತೆ ಮರಳದಂತೆ ತಡೆಯುವುದು ಎಂದು ಹೇಳಲಾಗಿದೆ. ಇದರಲ್ಲಿ ಹಲವಾರು ರೀತಿಯ ಕ್ಯಾನ್ಸರ್ ವಿರೋಧಿ ಗುಣಗಳು ಇವೆ.

ಗ್ರೀನ್ ಟೀ
ಇಂದಿನ ದಿನಗಳಲ್ಲಿ ಆರೋಗ್ಯಕ್ಕೆ ಹಸಿರು ಟೀ ಅಥವಾ ಗ್ರೀನ್ ಟೀ ಅತ್ಯುತ್ತಮ ಎಂದು ಈಗ ಎಲ್ಲರಿಗೂ ಗೊತ್ತಾಗಿದೆ. ಈ ಟೀ ಸೇವನೆಯ ಮೂಲಕ ದೇಹಕ್ಕೆ ಹಲವು ವಿಧದ ಪೋಷಕಾಂಶಗಳು ಲಭ್ಯವಾಗುತ್ತದೆ, ಇವು ದೇಹವನ್ನು ಹಲವಾರು ರೋಗಗಳಿಂದ ರಕ್ಷಿಸುತ್ತದೆ. ಒಂದು ದಿನಕ್ಕೆ ಮೂರು ಕಪ್ ನಷ್ಟು ಹಸಿರು ಟೀ ಕುಡಿದರೆ ಹಲವಾರು ಕಾಯಿಲೆಗಳು ಬರುವುದರಿಂದ ತಪ್ಪಿಸಿಕೊಳ್ಳಬಹುದು. ಆದರೆ ಈ ಟೀಯನ್ನು ಹೇಗೆ ಬೇಕೋ ಹಾಗೆ ಸೇವಿಸುವಂತಿಲ್ಲ. ಬದಲಿಗೆ ನಿಯಮಿತವಾಗಿ ಸೂಕ್ತ ಪ್ರಮಾಣದಲ್ಲಿ ಸೇವಿಸಿದಾಗ ಮಾತ್ರವೇ ಇವುಗಳ ಪ್ರಯೋಜನವನ್ನು ಪಡೆಯಬಹುದು. ಒಂದು ವೇಳೆ ಪ್ರತಿ ಆರು ಗಂಟೆಗಳಿಗೊಂದು ಕಪ್ ನಂತೆ ದಿನಕ್ಕೆ ಮೂರು ಕಪ್ ಹಸಿರು ಕಪ್ ಸೇವಿಸಿದರೆ ದೇಹದಲ್ಲಿ ಆ ದಿನ ಸಂಗ್ರಹವಾದ ಎಲ್ಲಾ ಕಲ್ಮಶಗಳು ಹೊರಹಾಕಲ್ಪಡುತ್ತವೆ. ಗ್ರೀನ್ ಟೀಯಲ್ಲಿ ಇರುವಂತಹ ಉನ್ನತ ಮಟ್ಟದ ಆ್ಯಂಟಿ ಆಕ್ಸಿಡೆಂಟ್ ಗಳು ದೇಹದಲ್ಲಿ ಇರುವಂತಹ ಫ್ರೀ ರ್ಯಾಡಿಕಲ್ ಮತ್ತು ಇತರ ಹಾನಿಕಾರಕ ಅಂಶಗಳನ್ನು ದೇಹದಿಂದ ಹೊರಹಾಕಲು ಪ್ರಮುಖ ಪಾತ್ರ ವಹಿಸುವುದು. ಹಾನಿಕಾರಕ ಅಂಶಗಳು ಬಾಯಿಯ ಕ್ಯಾನ್ಸರ್ ಉಂಟು ಮಾಡಬಹುದು ಮತ್ತು ಅದರ ಲಕ್ಷಣಗಳನ್ನು ಹೆಚ್ಚಿಸಬಹುದು. ಪ್ರತಿನಿತ್ಯ ಎರಡು ಕಪ್ ಗ್ರೀನ್ ಟೀ ಕುಡಿದರೆ ಅದರಿಂದ ಬಾಯಿಯ ಕ್ಯಾನ್ಸರ್ ನ ಲಕ್ಷಣಗಳನ್ನು ತಡೆಯಬಹುದು ಮತ್ತು ಅದು ಮರಳಿ ಬರದಂತೆ ತಡೆಯಬಹುದು.

ರಸ್ಬೆರಿ
ಕ್ಯಾನ್ಸರ್ ಚಿಕಿತ್ಸೆ ವೇಳೆ ಪ್ರತಿನಿತ್ಯ ಒಂದು ಕಪ್ ರಸ್ಬೆರಿ ಜ್ಯೂಸ್ ಸೇವನೆ ಮಾಡಿದರೆ ಅದರಿಂದ ಕ್ಯಾನ್ಸರ್ ನ್ನು ತುಂಬಾ ಪರಿಣಾಮಕಾರಿ ಯಾಗಿ ನಿವಾರಣೆ ಮಾಡಬಹುದು. ತಾಜಾ ರಸ್ಪೆರಿ ಜ್ಯೂಸ್ ನ್ನು ಇದಕ್ಕೆ ಬಳಸಿಕೊಂಡರೆ ಒಳ್ಳೆಯದು. ಯಾಕೆಂದರೆ ಪ್ಯಾಕ್ ಮಾಡಲ್ಪಟ್ಟಿ ರುವಂತಹ ಜ್ಯೂಸ್ ಗಳು ಅಷ್ಟು ಒಳ್ಳೆಯದಲ್ಲ.

ಟೊಮೆಟೊ
ಟೊಮೆಟೊಗೆ ಕೆಂಪು ಬಣ್ಣ ನೀಡುವಂತಹ ಲೈಕೊಪೆನೆ ಎನ್ನುವ ಅಂಶವು ಬಾಯಿಯ ಕ್ಯಾನ್ಸರ್ ನಿವಾರಣೆ ಮಾಡುವಲ್ಲಿ ಪ್ರಮುಖ ಪಾತ್ರ ವಹಿಸುವುದು. ಲೈಕೊಪೆನೆ ಆ್ಯಂಟಿಆಕ್ಸಿಡೆಂಟ್ ಆಗಿ ಕೆಲಸ ಮಾಡುವುದು ಮತ್ತು ಇದು ಹಾನಿಕಾರಕವಾಗಿರುವಂತಹ ಫ್ರೀ ರ್ಯಾಡಿಕಲ್ ನಿಂದ ದೇಹವನ್ನು ರಕ್ಷಿಸುವುದು. ಟೊಮೆಟೊದಲ್ಲಿ ಇರುವಂತಹ ವಿಟಮಿನ್ ಸಿ ಅಂಶವು ಚರ್ಮದ ಅಂಗಾಂಶಗಳಿಗೆ ಆಗುವಂತಹ ಹಾನಿ ತಡೆಯುವುದು ಮತ್ತು ಇದರಿಂದ ಕ್ಯಾನ್ಸರ್ ನ ಸಾಧ್ಯತೆಯು ಕಡಿಮೆಯಾಗುವುದು.

ಅವಕಾಡೊ
ಅವಕಾಡೊದಲ್ಲಿ ವಿಟಮಿನ್ ಸಿ ಮತ್ತು ಇ ಸಮೃದ್ಧವಾಗಿದೆ. ಇದು ಬಾಯಿಯಲ್ಲಿ ಇರುವಂತಹ ಕ್ಯಾನ್ಸರ್ ಕಾರಕ ಕೋಶಗಳನ್ನು ತೆಗೆದುಹಾಕಿ ಬಾಯಿಯ ಕ್ಯಾನ್ಸರ್ ಬರದಂತೆ ತಡೆಯುವುದು. ಕ್ಯಾನ್ಸರ್ ಗೆ ಚಿಕಿತ್ಸೆ ನೀಡದೆ ಇದ್ದರೆ ಆಗ ಅದು ದ್ವಿಗುಣವಾಗುತ್ತಾ ಹೋಗುವುದು ಮತ್ತು ಬಾಯಿಯ ಇತರ ಭಾಗಗಳಿಗೆ ಕೂಡ ಹಬ್ಬುವುದು.

ನುಗ್ಗೆಕಾಯಿ
ನುಗ್ಗೆಕಾಯಿಯ ಮರದ ಎಲೆಗಳು ಬಾಯಿಯ ಕ್ಯಾನ್ಸರ್ ನ್ನು ತುಂಬಾ ಪರಿಣಾಮಕಾರಿಯಾಗಿ ನಿವಾರಣೆ ಮಾಡುವುದು ಎಂದು ಹೇಳಲಾಗುತ್ತದೆ. ಈ ಎಲೆಗಳನ್ನು ಒಣಗಿಸಿ ಹುಡಿ ಮಾಡಬೇಕು. ಒಂದು ಚಮಚ ಹುಡಿಯನ್ನು ಕುದಿಯು ನೀರಿಗೆ ಹಾಕಬೇಕು. ಇದನ್ನು ಚಿಕಿತ್ಸೆಯ ಸಮಯದಲ್ಲಿ ಪ್ರತಿನಿತ್ಯ ಕುಡಿಯಬೇಕು.

ಬಾಯಿಯ ಕ್ಯಾನ್ಸರ್ ನ ಚಿಕಿತ್ಸೆಗೆ ಮೊದಲು ಮತ್ತು ಬಳಿಕ ಏನು ಸೇವಿಸಬೇಕು?
ಪೋಷಕಾಂಶಗಳಿಂದ ಅಧಿಕವಾಗಿರುವಂತಹ ಆಹಾರವು ದೇಹವನ್ನು ಪುನರ್ಶ್ಚೇತನಗೊಳಿಸುವುದು. ಇದರಲ್ಲಿ ಮುಖ್ಯವಾಗಿ ನೀವು ಹಣ್ಣುಗಳು ಹಾಗೂ ತರಕಾರಿ ಸೇವನೆ ಮಾಡಬೇಕು. ದಿನಕ್ಕೆ ಐದಾದರೂ ತಿನ್ನಬೇಕು. ಪೋಷಕಾಂಶಗಳು ಅಧಿಕವಾಗಿರುವ ಇತರ ಆಹಾರಗಳೆಂದರೆ ಇಡೀ ಧಾನ್ಯದ ಬ್ರೆಡ್ ಮತ್ತು ಸೀರಲ್, ತೆಳು ಮಾಂಸವಾಗಿರುವಂತಹ ಕೋಳಿ, ಟರ್ಕಿ ಮತ್ತು ಮೀನು. ಅದೇ ರೀತಿ ಕಡಿಮೆ ಕೊಬ್ಬು ಇರುವಂತಹ ಹಾಲಿನ ಉತ್ಪನ್ನಗಳು.

ಬಾಯಿ ಕ್ಯಾನ್ಸರ್ ಚಿಕಿತ್ಸೆ ವೇಳೆ ಯಾವ ಆಹಾರ ಕಡೆಗಣಿಸಬೇಕು?
ಬಾಯಿ ಕ್ಯಾನ್ಸರ್ ಚಿಕಿತ್ಸೆ ವೇಳೆ ಕಡೆಗಣಿಸಬೇಕಾಗಿರುವಂತಹ ಆಹಾರಗಳೆಂದರೆ ಅದು ಉಪ್ಪು, ಕೊಬ್ಬು, ಆಲ್ಕೋಹಾಲ್ ಮತ್ತು ಸಕ್ಕರೆ. ಈ ರೀತಿಯ ಆಹಾರಗಳಲ್ಲಿ ಕ್ಯಾಲರಿ ಇರುವುದಿಲ್ಲ. ಇದರಿಂದ ದೇಹಕ್ಕೆ ಯಾವುದೇ ರೀತಿಯ ಪೋಷಕಾಂಶಗಳು ಸಿಗದು. ಕ್ಯಾನ್ಸರ್ ಕಾರಕ ಕೋಶಗಳ ವಿರುದ್ಧ ಹೋರಾಡಲು ಈ ಆಹಾರಗಳು ನೆರವಾಗದು.

ಬಾಯಿಯ ಕ್ಯಾನ್ಸರ್ ಚಿಕಿತ್ಸೆಗೆ ಸಮತೋಲಿತ ಆಹಾರದೊಂದಿಗೆ ನಿಯಮಿತ ಸೇವನೆ ಯಾಕೆ ಅಗತ್ಯವಾಗಿರುವುದು?
ಬಾಯಿಯ ಕ್ಯಾನ್ಸರ್ ರೋಗಿಗಳಲ್ಲಿ ಹಸಿವು ಕಡಿಮೆಯಾಗುವುದು ಸಾಮಾನ್ಯ ಕ್ರಿಯೆಯಾಗಿದೆ. ಇದರೊಂದಿಗೆ ವಾಕರಿಕೆ, ವಾಂತಿ, ಭೇದಿ, ಮಲಬದ್ಧತೆ, ಬಾಯಿ ಒಣಗುವುದು, ಇತರ ಬಾಯಿ ಅಥವಾ ಜೀರ್ಣಕ್ರಿಯೆ ಸಮಸ್ಯೆಗಳು ಕಾಣಿಸಿಕೊಳ್ಳುವುದು. ತೂಕ ಕಳೆದುಕೊಳ್ಳುವ ವಿರುದ್ಧ ಹೋರಾಡುವುದು ಕ್ಯಾನ್ಸರ್ ಚಿಕಿತ್ಸೆ ವೇಳೆ ದೊಡ್ಡ ಸವಾಲಿನ ಕೆಲಸವಾಗಿರುವುದು. ಯಾಕೆಂದರೆ ತೂಕ ಕಳೆದುಕೊಂಡರೆ ಆಗ ಕ್ಯಾನ್ಸರ್ ಚಿಕಿತ್ಸೆ ಮೇಲೆ ಅದು ನಕಾರಾತ್ಮಕ ಪರಿಣಾಮ ಬಿರುವುದು. ದೇಹಕ್ಕೆ ಕ್ಯಾನ್ಸರ್ ವಿರುದ್ಧ ಹೋರಾಡುವ ಶಕ್ತಿ ಕುಂದಿಸುವುದು.



Click it and Unblock the Notifications











