Latest Updates
-
ಆರ್ಬಿಐ ಹೊಸ ಆಟೋ-ಪೇ ನಿಯಮ: ನಿಮ್ಮ OTT ಮತ್ತು SIP ಪಾವತಿಗಳು ಸ್ಥಗಿತಗೊಳ್ಳುವ ಮುನ್ನ ಎಚ್ಚೆತ್ತುಕೊಳ್ಳಿ! -
ಸುಡುವ ಬಿಸಿಲಲ್ಲೂ ಮನೆ ತಂಪಾಗಿರಬೇಕೆ? ಕಡಿಮೆ ಖರ್ಚಿನಲ್ಲಿ ಕೂಲರ್ ಇಲ್ಲದೆ ತಂಪಾಗಿಸಲು ಇಲ್ಲಿದೆ ಮ್ಯಾಜಿಕ್ ಟಿಪ್ಸ್! -
ಬಿಸಿಲಿನ ಅಲೆ: ಸುಡುವ ಬಿಸಿಲಿನಲ್ಲಿ ನಿಮ್ಮ ಆರೋಗ್ಯ ಕಾಪಾಡಿಕೊಳ್ಳಲು ಈ ಪಾನೀಯಗಳೇ ಮದ್ದು! -
ಬಿಸಿಲ ಧಗೆಗೆ ಕಂಗಾಲಾಗಿದ್ದೀರಾ? ಸ್ಟೈಲಿಶ್ ಆಗಿ ಕೂಲ್ ಆಗಿರಲು ಇಲ್ಲಿದೆ ವೈರಲ್ ಸಮ್ಮರ್ ಹ್ಯಾಕ್ಸ್! -
ಬಿಸಿಗಾಳಿಯ ಅಬ್ಬರ: ಫಿಟ್ನೆಸ್ ಕಾಪಾಡಿಕೊಳ್ಳಲು ನಿಮ್ಮ ವರ್ಕೌಟ್ ಸಮಯ ಬದಲಾಯಿಸುವುದು ಅನಿವಾರ್ಯವೇ? -
ಡೇಟಿಂಗ್ ಆ್ಯಪ್ಗಳಲ್ಲಿ ಪ್ರೀತಿಯ ಬಲೆ: ಎಐ ಡೀಪ್ಫೇಕ್ ವಂಚನೆಯಿಂದ ಪಾರಾಗುವುದು ಹೇಗೆ? -
ಬಿಸಿಲ ಬೇಗೆಯಿಂದ ತತ್ತರಿಸಿದ್ದೀರಾ? ಎಸಿ ಇಲ್ಲದೆಯೇ ನಿಮ್ಮ ಮನೆಯನ್ನು ತಂಪಾಗಿಡಲು ಇಲ್ಲಿದೆ ಮ್ಯಾಜಿಕ್ ಟಿಪ್ಸ್! -
ಅಶ್ವಗಂಧದ ಎಲೆಗಳ ಬಳಕೆ ನಿಷೇಧ: ನಿಮ್ಮ ನೆಚ್ಚಿನ ಹೆಲ್ತ್ ಸಪ್ಲಿಮೆಂಟ್ಸ್ ಮಾರುಕಟ್ಟೆಯಿಂದ ಮಾಯವಾಗುತ್ತಾ? -
ಬಿಸಿಗಾಳಿಯ ಅಬ್ಬರ: ಸುಡುವ ಬಿಸಿಲಿನಲ್ಲಿ ಆರೋಗ್ಯ ಮತ್ತು ಫಿಟ್ನೆಸ್ ಕಾಪಾಡಿಕೊಳ್ಳುವುದು ಹೇಗೆ? -
ದೆಹಲಿ ಬಿಸಿಲಿನಲ್ಲಿ ಮದುವೆ ಸಂಭ್ರಮ: ಹೀಟ್ವೇವ್ ನಡುವೆ ನಿಮ್ಮ ಮದುವೆ ಪ್ಲಾನ್ ಬದಲಾಯಿಸುವುದು ಹೇಗೆ?
ಎಂಟು ವರ್ಷದ ಬಾಲಕಿಯ ಹೊಟ್ಟೆಯಲ್ಲಿತ್ತು 'ಕೂದಲಿನ ದೊಡ್ಡ ಉಂಡೆ'! ವೈದ್ಯರೇ ನೋಡಿ ಶಾಕ್ ಆದರು!!
ಕೆಲವೊಂದು ಸಲ ನಮ್ಮ ಕೆಟ್ಟ ಅಭ್ಯಾಸಗಳು ನಮ್ಮ ಆರೋಗ್ಯದ ಮೇಲೆ ಯಾವ ರೀತಿಯಲ್ಲಿ ಕೆಟ್ಟ ಪರಿಣಾಮ ಬೀರುತ್ತದೆ ಎಂದು ಹೇಳಲು ಸಾಧ್ಯವಿಲ್ಲ. ಅದರಲ್ಲೂ ಸಣ್ಣ ಮಕ್ಕಳಲ್ಲಿ ಕೆಲವೊಂದು ಅಭ್ಯಾಸಗಳು ಇರುವುದು. ಅದರಲ್ಲಿ ಮುಖ್ಯವಾಗಿ ಉಗುರು ಕಚ್ಚುವುದು, ಕೂದಲನ್ನು ಎಳೆದು ಬಾಯಿಗೆ ಹಾಕಿಕೊಳ್ಳುವುದು, ಇನ್ನು ಕೆಲವು ಸಣ್ಣ ಮಕ್ಕಳು ಸಿಕ್ಕಿದೆಲ್ಲವನ್ನು ತಿನ್ನುವ ಅಭ್ಯಾಸ ಬೆಳೆಸಿಕೊಂಡಿರುತ್ತವೆ.
ಇದು ಆರೋಗ್ಯದ ಮೇಲೆ ವ್ಯತಿರಿಕ್ತ ಪರಿಣಾಮ ಬೀರುವುದು. ಇದರಿಂದ ಮಕ್ಕಳಿಗೆ ಆರಂಭದಲ್ಲೇ ಇಂತಹ ಅಭ್ಯಾಸದಿಂದ ದೂರವಿರಬೇಕು ಎಂದು ಗದರಿಸಬೇಕು. ಇಲ್ಲವಾದಲ್ಲಿ ಅದು ದೊಡ್ಡ ಮಟ್ಟದ ಸಮಸ್ಯೆಗೂ ಕಾರಣವಾಗಬಹುದು. ನಾವು ಇಂದು ಈ ಲೇಖನದಲ್ಲಿ ನಿಮಗೆ ತಿಳಿಸಲು ಹೊರಟಿರುವುದು ಇಂತಹ ಒಂದು ವಿಷಯದ ಬಗ್ಗೆ. ಇಲ್ಲೊಬ್ಬಳು ಸಣ್ಣ ಬಾಲಕಿಯು ತನ್ನ ಕೂದಲನ್ನು ಯಾವಾಗಲೂ ಬಾಯಿಗೆ ಹಾಕಿಕೊಂಡು ಕಚ್ಚಿಕೊಳ್ಳುತ್ತಿದ್ದಳು. ಈ ಕೂದಲು ಬಾಯಿ ಮೂಲಕ ಹೊಟ್ಟೆಗೆ ಸೇರಿ ಅಲ್ಲಿ ಒಂದು ರಾಶಿಯಾಗಿದೆ. ಇದನ್ನು ನೋಡಿದ ವೈದ್ಯರು ಕೂಡ ಅಚ್ಚರಿಗೀಡಾಗಿದ್ದಾರೆ. ಈ ವಿಚಿತ್ರ ಘಟನೆ ಬಗ್ಗೆ ನೀವು ಮುಂದೆ ಓದುತ್ತಾ ಸಾಗಿ.

2ರ ಹರೆಯದಿಂದಲೇ ಆಕೆ ತನ್ನ ಕೂದಲು ತಿನ್ನಲು ಆರಂಭಿಸಿದ್ದಳು!
ದಕ್ಷಿಣ ಚೀನಾದ ಗುವಾಂಗ್ಡಾಂಗ್ ಎನ್ನುವ ಪ್ರದೇಶದ ನಿವಾಸಿಯಾಗಿರುವ 8ರ ಹರೆಯದ ಬಾಲಕಿ ಫೀಫೀ ಎಂಬ ಬಾಲಕಿಯ ಹೊಟ್ಟೆಯಲ್ಲಿ ಕೂದಲಿನ ಉಂಡೆಯ ಇತ್ತು. ವರದಿಗಳು ಹೇಳುವ ಪ್ರಕಾರ ಈ ಬಾಲಕಿಯು ತನ್ನ 2ರ ಹರೆಯದಿಂದಲೇ ಕೂದಲನ್ನು ಎಳೆದುಕೊಂಡು, ಅದನ್ನು ಬಾಯಿಗೆ ಹಾಕಿ ತಿನ್ನಲು ಆರಂಭಿಸಿದ್ದಳು.

ಕೂದಲು ತಿನ್ನದಂತೆ ಆಕೆಯ ತಾಯಿಯು ಆಕೆಗೆ ಸೂಚಿಸಿದ್ದರು
ವರ್ಷದ ಆರಂಭದಲ್ಲಿ ತನ್ನ ಮಗಳ ಕೂದಲು ತಿನ್ನುವ ಅಭ್ಯಾಸವನ್ನು ನಿಲ್ಲಿಸಿರುವುದಾಗಿ ತಾಯಿ ಹೇಳಿಕೊಂಡಿದ್ದಾಳೆ ಎಂದು ವರದಿಗಳು ಹೇಳಿವೆ. ಒಂದು ತಿಂಗಳ ಬಳಿಕ ತನ್ನ ಮಗಳು ಪದೇ ಪದೇ ಅನಾರೋಗ್ಯಕ್ಕೆ ತುತ್ತಾಗುತ್ತಿರುವುದನ್ನು ಆಕೆ ಗಮನಿಸಿದ್ದಾಳೆ. ತೀವ್ರ ಹೊಟ್ಟೆ ನೋವು ಹಾಗೂ ವಾಂತಿಯಿಂದಾಗಿ ಒಂದು ವಾರ ಕಾಲ ಆಕೆ ಅನಾರೋಗ್ಯಕ್ಕೆ ಒಳಗಾಗಿದ್ದಾಳೆ.

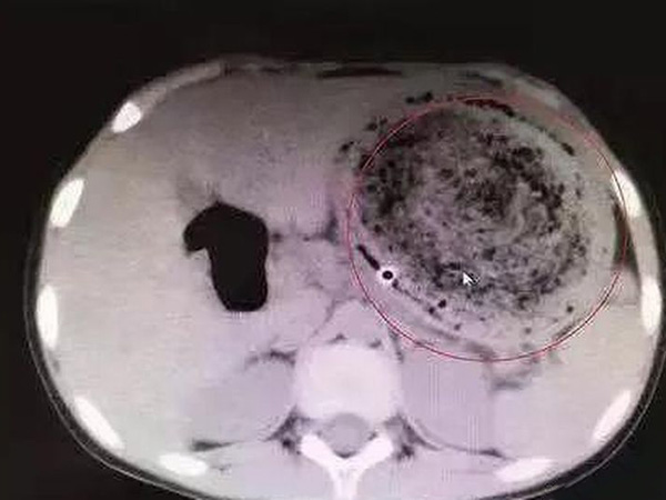
ವೈದ್ಯರು ಆಕೆಯ ಪರೀಕ್ಷೆ ಮಾಡಿದರು
ವೈದ್ಯರು ಆಕೆಯ ಮೇಲೆ ಗ್ಯಾಸ್ಟ್ರಿಕ್ ಲ್ಯಾವೆಜ್ ಚಿಕಿತ್ಸೆ ಮಾಡಿದರು. ಈ ವಿಧಾನದಿಂದ ಹೊಟ್ಟೆಯನ್ನು ಸಂಪೂರ್ಣವಾಗಿ ಖಾಲಿ ಮಾಡಲಾಗುತ್ತದೆ. ಆದರೆ ಬಾಲಕಿಯ ಹೊಟ್ಟೆಯಲ್ಲಿ ಕೂದಲಿನ ದೊಡ್ಡ ಉಂಡೆಯು ಇರುವುದನ್ನು ನೋಡಿದ ವೈದ್ಯರು ಅಚ್ಚರಿಗೊಳಗಾದರು.

ಆಕೆಗೆ ತಕ್ಷಣ ಶಸ್ತ್ರಚಿಕಿತ್ಸೆ ಮಾಡಲಾಯಿತು
ಬಾಲಕಿಗೆ ತಕ್ಷಣ ಶಸ್ತ್ರಚಿಕಿತ್ಸೆ ಮಾಡಿ ಆಕೆಯ ಹೊಟ್ಟೆಯಲ್ಲಿ ಇದ್ದಂತಹ ಕೂದಲಿನ ಉಂಡೆಯನ್ನು ಹೊರಗೆ ತೆಗೆಯಲಾಯಿತು.



Click it and Unblock the Notifications











