Latest Updates
-
ಆರ್ಬಿಐ ಹೊಸ ಆಟೋ-ಪೇ ನಿಯಮ: ನಿಮ್ಮ OTT ಮತ್ತು SIP ಪಾವತಿಗಳು ಸ್ಥಗಿತಗೊಳ್ಳುವ ಮುನ್ನ ಎಚ್ಚೆತ್ತುಕೊಳ್ಳಿ! -
ಸುಡುವ ಬಿಸಿಲಲ್ಲೂ ಮನೆ ತಂಪಾಗಿರಬೇಕೆ? ಕಡಿಮೆ ಖರ್ಚಿನಲ್ಲಿ ಕೂಲರ್ ಇಲ್ಲದೆ ತಂಪಾಗಿಸಲು ಇಲ್ಲಿದೆ ಮ್ಯಾಜಿಕ್ ಟಿಪ್ಸ್! -
ಬಿಸಿಲಿನ ಅಲೆ: ಸುಡುವ ಬಿಸಿಲಿನಲ್ಲಿ ನಿಮ್ಮ ಆರೋಗ್ಯ ಕಾಪಾಡಿಕೊಳ್ಳಲು ಈ ಪಾನೀಯಗಳೇ ಮದ್ದು! -
ಬಿಸಿಲ ಧಗೆಗೆ ಕಂಗಾಲಾಗಿದ್ದೀರಾ? ಸ್ಟೈಲಿಶ್ ಆಗಿ ಕೂಲ್ ಆಗಿರಲು ಇಲ್ಲಿದೆ ವೈರಲ್ ಸಮ್ಮರ್ ಹ್ಯಾಕ್ಸ್! -
ಬಿಸಿಗಾಳಿಯ ಅಬ್ಬರ: ಫಿಟ್ನೆಸ್ ಕಾಪಾಡಿಕೊಳ್ಳಲು ನಿಮ್ಮ ವರ್ಕೌಟ್ ಸಮಯ ಬದಲಾಯಿಸುವುದು ಅನಿವಾರ್ಯವೇ? -
ಡೇಟಿಂಗ್ ಆ್ಯಪ್ಗಳಲ್ಲಿ ಪ್ರೀತಿಯ ಬಲೆ: ಎಐ ಡೀಪ್ಫೇಕ್ ವಂಚನೆಯಿಂದ ಪಾರಾಗುವುದು ಹೇಗೆ? -
ಬಿಸಿಲ ಬೇಗೆಯಿಂದ ತತ್ತರಿಸಿದ್ದೀರಾ? ಎಸಿ ಇಲ್ಲದೆಯೇ ನಿಮ್ಮ ಮನೆಯನ್ನು ತಂಪಾಗಿಡಲು ಇಲ್ಲಿದೆ ಮ್ಯಾಜಿಕ್ ಟಿಪ್ಸ್! -
ಅಶ್ವಗಂಧದ ಎಲೆಗಳ ಬಳಕೆ ನಿಷೇಧ: ನಿಮ್ಮ ನೆಚ್ಚಿನ ಹೆಲ್ತ್ ಸಪ್ಲಿಮೆಂಟ್ಸ್ ಮಾರುಕಟ್ಟೆಯಿಂದ ಮಾಯವಾಗುತ್ತಾ? -
ಬಿಸಿಗಾಳಿಯ ಅಬ್ಬರ: ಸುಡುವ ಬಿಸಿಲಿನಲ್ಲಿ ಆರೋಗ್ಯ ಮತ್ತು ಫಿಟ್ನೆಸ್ ಕಾಪಾಡಿಕೊಳ್ಳುವುದು ಹೇಗೆ? -
ದೆಹಲಿ ಬಿಸಿಲಿನಲ್ಲಿ ಮದುವೆ ಸಂಭ್ರಮ: ಹೀಟ್ವೇವ್ ನಡುವೆ ನಿಮ್ಮ ಮದುವೆ ಪ್ಲಾನ್ ಬದಲಾಯಿಸುವುದು ಹೇಗೆ?
ಈತನ ಕರುಳಿನ ತುಂಡನ್ನೇ ತೆಗೆದು ಹಾಕಿದ ವೈದ್ಯರು! ಯಾಕೆ ಗೊತ್ತೇ?
ದೇಹದ ರಚನೆ ಹಾಗೂ ಕಾರ್ಯವಿಧಾನದ ಬಗ್ಗೆ ತಿಳಿದುಕೊಳ್ಳುವುದು ನಮ್ಮಿಂದ ಸಾಧ್ಯವಾಗದು. ದೇಹದ ಹೊರಗಿನ ಭಾಗಗಳು ನಮಗೆ ಕಾಣಿಸುವುದು ಮತ್ತು ಅದು ಯಾವ ರೀತಿಯಾಗಿ ಕಾರ್ಯ ನಿರ್ವಹಣೆ ಮಾಡುವುದು ಎಂದು ತಿಳಿಯುವುದು. ಆದರೆ ದೇಹದ ಒಳಗಿರುವ ಅಂಗಾಗಂಗಳ ಬಗ್ಗೆ ನಮಗೆ ಹೆಚ್ಚಿನ ಮಾಹಿತಿಯು ಲಭ್ಯವಾಗದು. ದೇಹದ ಒಳಗಿನ ಅಂಗಾಂಗಗಳು ಅತೀ ಮುಖ್ಯ. ನಮಗೆ ಏನಾದರೂ ಅನಾರೋಗ್ಯ ಕಾಡಿದಾಗ ಮತ್ತು ಕಾಯಿಲೆ ಬಂದಾಗ ದೇಹದ ಒಳಗಿನ ಭಾಗಗಳು ಯಾವ ರೀತಿ ಕಾರ್ಯನಿರ್ವಹಿಸುವುದು ಎನ್ನುವುದನ್ನು ವೈದ್ಯರು ಕೆಲವೊಮ್ಮೆ ವಿವರಿಸುವರು.
ನಾವು ನಗಣ್ಯ ಎಂದು ಪರಿಗಣಿಸುವಂತಹ ಸಮಸ್ಯೆಗಳು ನಮಗೆ ದೊಡ್ಡದಾಗಿ ಹಾನಿ ಮಾಡಬಹುದು. ಇಂದಿನ ದಿನಗಳಲ್ಲಿ ಹೆಚ್ಚಿನ ಜನರನ್ನು ಕಾಡುವಂತಹ ಸಮಸ್ಯೆ ಎಂದರೆ ಅದು ಮಲಬದ್ಧತೆ. ಯಾಕೆಂದರೆ ಇದರಿಂದ ಹಲವಾರು ಆರೋಗ್ಯ ಸಮಸ್ಯೆಗಳು ಆರಂಭವಾಗುವುದು. ಮಲಬದ್ಧತೆ ಸಮಸ್ಯೆಯನ್ನು ಲಘುವಾಗಿ ಪರಿಗಣಿಸಬಾರದು. ಇದು ಒಂದು ರೀತಿಯಲ್ಲಿ ಗಂಭೀರವಾದ ಸಮಸ್ಯೆ ಆಗಿದೆ. ಇಲ್ಲೊಬ್ಬ ವ್ಯಕ್ತಿ ಒಂದು ವಾರದಿಂದ ಮಲಬದ್ಧತೆಯಿಂದ ಬಳಲುತ್ತಿದ್ದ. ಅಂತಿಮವಾಗಿ ಆತ ಕರುಳಿನ ಒಂದು ತುಂಡನ್ನು ಕಳಕೊಳ್ಳಬೇಕಾಗಿ ಬಂತು. ಈ ವಿಚಿತ್ರ ಘಟನೆ ಬಗ್ಗೆ ನೀವು ತಿಳಿಯಿರಿ.

ಆತ ಸಾವಿನ ಸನಿಹಕ್ಕೆ ಬಂದಿದ್ದ
ತೈವಾನ್ ನ ಕಾವೊಹ್ಸುಂಗ್ ನಲ್ಲಿ ವಾಸವಾಗಿರುವಂತಹ 80ರ ಹರೆಯದ ವ್ಯಕ್ತಿಯೊಬ್ಬರು ಒಂದು ವಾರದ ಕಾಲ ಮಲಬದ್ಧತೆ ಸಮಸ್ಯೆಯಿಂದ ಬಳಲಿದ ಬಳಿಕ ಸಾವಿನ ಸನಿಹಕ್ಕೆ ಬಂದಿದ್ದರು. ಮಲಬದ್ಧತೆಯಿಂದಾಗಿ ಅವರ ಪರಿಸ್ಥಿತಿ ದಿನದಿಂದ ದಿನಕ್ಕೆ ಬಿಗಡಾಯಿಸುತ್ತಾ ಇತ್ತು.

ಅನಾರೋಗ್ಯಕ್ಕೆ ಒಳಗಾದರು
ಈ ವ್ಯಕ್ತಿಗೆ ತೀವ್ರ ಜ್ವರ ಕಾಡುತ್ತಲಿತ್ತು. ಆಸ್ಪತ್ರೆಗೆ ಸಾಗಿಸುವ ಮೊದಲು ಅವರು ನಿಶ್ಯಕ್ತಿಯಿಂದ ಬಳಲಿದ್ದರು ಮತ್ತು ಪ್ರಜ್ಞೆ ಕೂಡ ಕಳಕೊಂಡಿದ್ದರು. ಅನಾರೋಗ್ಯಕ್ಕೆ ಕಾರಣ ಏನು ಎಂದು ತಿಳಿಯಲು ವೈದ್ಯರು ಹಲವಾರು ಪರೀಕ್ಷೆಗಳನ್ನು ಮಾಡಿದರು.

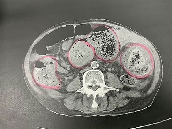
ಆ ವ್ಯಕ್ತಿಯ ಕರುಳಿನಲ್ಲಿ ಮಲವು ತುಂಬಿತ್ತು
ಈ ವ್ಯಕ್ತಿಯು ಅತಿಯಾದ ಮಲಬದ್ಧತೆ ಸಮಸ್ಯೆಯಿಂದ ಬಳಲುತ್ತಿ ದ್ದಾರೆ ಎಂದು ವೈದ್ಯರು ಪತ್ತೆ ಮಾಡಿದರು. ಕರುಳಿನಲ್ಲಿ ಸಂಪೂರ್ಣ ವಾಗಿ ಮಲವು ತುಂಬಿರುವುದು ಪರೀಕ್ಷೆಯಿಂದ ವೈದ್ಯರಿಗೆ ತಿಳಿದು ಬಂತು.

ಶಸ್ತ್ರಚಿಕಿತ್ಸೆ ನಡೆಸಲಾಯಿತು
ಪರೀಕ್ಷೆ ನಡೆಸಿದ ಬಳಿಕ ವ್ಯಕ್ತಿಯನ್ನು ತಕ್ಷಣವೇ ಶಸ್ತ್ರಚಿಕಿತ್ಸೆ ಮಾಡಲು ಕರೆದುಕೊಂಡು ಹೋಗಲಾಯಿತು. ವೈದ್ಯರು ಕಂಡುಕೊಂಡ ವಿಚಾರವೆಂದರೆ ಆ ವ್ಯಕ್ತಿಯ ಕರುಳಿನ ಒಂದು ಭಾಗವು ಅದಾಗಲೇ ಗ್ಯಾಂಗ್ರೀನ್ ಗೆ ಒಳಗಾಗಿತ್ತು ಮತ್ತು ಅದು ಕಪ್ಪಾಗಿತ್ತು. ಇದರಿಂದ ಅಲ್ಲಿನ ಅಂಗಾಂಶಗಳು ಸಂಪೂರ್ಣವಾಗಿ ಸತ್ತು ಹೋಗಿದ್ದವು.

ಕರುಳಿನ 30 ಸೆ.ಮೀ.ನ್ನು ಕತ್ತರಿಸಿ ತೆಗೆಯಬೇಕಾಗಿ ಬಂತು!
ಕರುಳಿನ ಕಪ್ಪಾದ ಭಾಗದಲ್ಲಿ ಅಂಗಾಂಶಗಳು ಅದಾಗಲೇ ಸತ್ತಿರುವ ಕಾರಣದಿಂದಾಗಿ ವೈದ್ಯರು ಶಸ್ತ್ರಚಿಕಿತ್ಸೆ ಮೂಲಕ ಸುಮಾರು 30 ಸೆ.ಮೀ. ಕರುಳಿನ ತುಂಡನ್ನು ತೆಗೆದರು. ಈ ವ್ಯಕ್ತಿಯು ಸಂಪೂರ್ಣ ವಾಗಿ ಚೇತರಿಸಿಕೊಳ್ಳುವ ಮೊದಲು ಅವರನ್ನು 15 ದಿನಗಳ ಕಾಲ ಆಸ್ಪತ್ರೆಯಲ್ಲಿ ಚಿಕಿತ್ಸೆ ಕೊಡಲಾಯಿತು. ಈ ಘಟನೆ ಬಗ್ಗೆ ನಿಮ್ಮ ಅನಿಸಿಕೆ ಏನು? ಕಮೆಂಟ್ ಬಾಕ್ಸ್ ಗೆ ಕ್ಲಿಕ್ ಮಾಡಿ ಬರೆಯಲು ಮರೆಯಬೇಡಿ.



Click it and Unblock the Notifications











