Latest Updates
-
ಡೇಟಿಂಗ್ ಆ್ಯಪ್ಗಳಲ್ಲಿ ಪ್ರೀತಿಯ ಬಲೆ: ಎಐ ಡೀಪ್ಫೇಕ್ ವಂಚನೆಯಿಂದ ಪಾರಾಗುವುದು ಹೇಗೆ? -
ಬಿಸಿಲ ಬೇಗೆಯಿಂದ ತತ್ತರಿಸಿದ್ದೀರಾ? ಎಸಿ ಇಲ್ಲದೆಯೇ ನಿಮ್ಮ ಮನೆಯನ್ನು ತಂಪಾಗಿಡಲು ಇಲ್ಲಿದೆ ಮ್ಯಾಜಿಕ್ ಟಿಪ್ಸ್! -
ಅಶ್ವಗಂಧದ ಎಲೆಗಳ ಬಳಕೆ ನಿಷೇಧ: ನಿಮ್ಮ ನೆಚ್ಚಿನ ಹೆಲ್ತ್ ಸಪ್ಲಿಮೆಂಟ್ಸ್ ಮಾರುಕಟ್ಟೆಯಿಂದ ಮಾಯವಾಗುತ್ತಾ? -
ಬಿಸಿಗಾಳಿಯ ಅಬ್ಬರ: ಸುಡುವ ಬಿಸಿಲಿನಲ್ಲಿ ಆರೋಗ್ಯ ಮತ್ತು ಫಿಟ್ನೆಸ್ ಕಾಪಾಡಿಕೊಳ್ಳುವುದು ಹೇಗೆ? -
ದೆಹಲಿ ಬಿಸಿಲಿನಲ್ಲಿ ಮದುವೆ ಸಂಭ್ರಮ: ಹೀಟ್ವೇವ್ ನಡುವೆ ನಿಮ್ಮ ಮದುವೆ ಪ್ಲಾನ್ ಬದಲಾಯಿಸುವುದು ಹೇಗೆ? -
ಬೇಸಿಗೆ ಬಿಸಿಲಿಗೆ ಮನೆ ತಂಪಾಗಿಡಲು ಈ ಟಿಪ್ಸ್ ಫಾಲೋ ಮಾಡಿ -
ಹೀಟ್ವೇವ್ ಎಚ್ಚರಿಕೆ: ಸುಡುವ ಬಿಸಿಲಿಗೆ ನಿಮ್ಮ ದೇಹ ತಂಪಾಗಿಸುವುದು ಹೇಗೆ? -
ಬಿಸಿಲ ಬೇಗೆಯಿಂದ ಪಾರಾಗಲು ಈ ಸ್ಮಾರ್ಟ್ ಟಿಪ್ಸ್ ಮಿಸ್ ಮಾಡ್ಬೇಡಿ -
ತೀವ್ರ ಶಾಖದ ಅಲೆ: ಬಿಸಿಲಿನಲ್ಲಿ ವ್ಯಾಯಾಮ ಮಾಡುವ ಮುನ್ನ ಎಚ್ಚರ! -
ಅಕ್ಷಯ ತೃತೀಯ ಮದುವೆ: ಬಾಲ್ಯ ವಿವಾಹ ತಡೆಯಲು ನೀವೇನು ಮಾಡಬೇಕು?
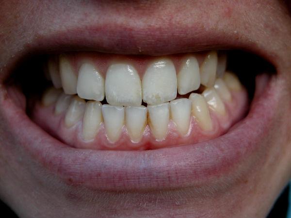
ನೀವು ನಿದ್ದೆಯಲ್ಲಿ ಹಲ್ಲು ಕಡಿಯುತ್ತೀರಾ?
ಹಲ್ಲು ಕಡಿಯುವುದು ಅಥವಾ ಬ್ರೂಕ್ಸಿಸಂ ಎಂಬುದು ಗೊರಕೆಯಂತೆ, ಇದು ನೀವು ನಿದ್ದೆ ಮಾಡುವಾಗ ಸಂಭವಿಸುತ್ತದೆ. ಈ ವಿಚಾರ ನಮಗೆ ತಿಳಿಯುವುದೇ ಇಲ್ಲ. ಆದರೆ ನಮ್ಮ ಅಕ್ಕ ಪಕ್ಕದಲ್ಲಿ ಮಲಗುವವರಿಗೆ ಇದರ ಪರಿಚಯ ತುಂಬಾ ಚೆನ್ನಾಗಿರುತ್ತದೆ.
ಸುಖ ನಿದ್ದೆ ಬರಲು ಡಯಟ್ ಹೀಗಿರಲಿ
ವಿಶೇಷವಾಗಿ ನಮ್ಮ ಸಂಗಾತಿಗೆ ಈ ವಿಚಾರ ಮೊದಲು ತಿಳಿಯುತ್ತದೆ ಮತ್ತು ಇದನ್ನು ಅವರೇ ಮೊಟ್ಟ ಮೊದಲು ನಮ್ಮ ಗಮನಕ್ಕೆ ತರುತ್ತಾರೆ. ಒಂದು ಹಂತಕ್ಕೆ ಬಂದಾಗ ಹಲ್ಲು ಕಡಿಯುವ ಅಭ್ಯಾಸ ತನ್ನಷ್ಟಕ್ಕೆ ತಾನೇ ನಿಂತು ಹೋಗುತ್ತದೆ ಎಂದು ನೀವು ಭಾವಿಸಿದ್ದೀರಾ?

ಖಂಡಿತ ನಿಮ್ಮ ಭಾವನೆ ತಪ್ಪು. ಗೊರಕೆಯಂತೆ ಈ ಸಮಸ್ಯೆಯಿಂದಲೂ ಸಹ ನೀವು ಹೊರಬರಲು ಪ್ರಯತ್ನಪಡಬೇಕು ಅಷ್ಟೇ. ಹಲ್ಲು ಕಡಿಯುವ ಅಭ್ಯಾಸವು ಹಲವಾರು ದಂತ ಸಮಸ್ಯೆಗಳಿಗೆ ಮೂಲವಾಗುತ್ತದೆ. ಹಲ್ಲುಗಳನ್ನು ಬಲವಾಗಿ ಕಡಿಯುವುದರಿಂದ ಹಲ್ಲುಗಳ ಮೇಲೆ ಉಂಟಾಗುವ ಪರಿಣಾಮಗಳನ್ನು ನಾವು ಕಣ್ಣಾರೆ ಕಾಣಬಹುದು.
ಮಕ್ಕಳಲ್ಲಿ ಹಲ್ಲು ಕಡಿಯುವ ಅಭ್ಯಾಸ: ಮಕ್ಕಳಲ್ಲಿ ಹಲ್ಲು ಕಡಿಯುವ ಸಮಸ್ಯೆಯು ಎರಡು ಬಾರಿ ಕಂಡು ಬರುತ್ತದೆ. ಒಂದು ಅವರು ಮಕ್ಕಳಾಗಿರುವಾಗ, ಎರಡು ಅವರಿಗೆ ಹಲ್ಲುಗಳು ಮೂಡಿದಾಗ ಈ ಸಮಸ್ಯೆಯು ಕಂಡು ಬರುತ್ತದೆ. ಆದರೆ ಈ ಸಮಸ್ಯೆಯು ಮಕ್ಕಳಲ್ಲಿ ಮಕ್ಕಳಲ್ಲಿ ತಲೆನೋವು, ದವಡೆ ನೋವು ಮತ್ತು ಅಡ್ಡಾ-ದಿಡ್ಡಿ ಹಲ್ಲುಗಳ ಸಮಸ್ಯೆಯನ್ನು ಹೊರತುಪಡಿಸಿ ಇನ್ನಿತರ ಶಾಶ್ವತವಾದ ಪರಿಣಾಮವನ್ನೇನು ಉಂಟು ಮಾಡುವುದಿಲ್ಲ.
ಇವರು ಬೆಳೆದಂತೆಲ್ಲ ಹಲ್ಲುಗಳು ಶಾಶ್ವತವಾಗಿ ಬೆಳೆಯುತ್ತವೆ.
ಆಗ ಕೆಲವು ಮಕ್ಕಳಲ್ಲಿ ಹಲ್ಲು ಕಡಿಯುವ ಅಭ್ಯಾಸ ಮುಂದುವರಿಯುತ್ತದೆ. ಇದಕ್ಕೆ ನಿಖರ ಕಾರಣ ಇನ್ನೂ ತಿಳಿದು ಬಂದಿಲ್ಲ. ಆದರೂ ಮೇಲಿನ ಮತ್ತು ಕೆಳದವಡೆಗಳ ಘರ್ಷಣೆಯ ಪರಿಣಾಮ ಹಲ್ಲು ಕಡಿಯುವ ಸಮಸ್ಯೆ ಕಂಡುಬರುತ್ತದೆ ಎಂದು ಊಹಿಸಲಾಗಿದೆ. ಇದರಿಂದ ಅಲರ್ಜಿ, ಅಸ್ವಸ್ಥತೆ ಮತ್ತು ಒತ್ತಡದಂತಹ ಸಮಸ್ಯೆಗಳು ಕಂಡು ಬರುತ್ತವೆ.
ನೀವು ಹಲ್ಲು ಕಚ್ಚಿದರೆ ಮತ್ತೊಬ್ಬರ ನಿದ್ದೆ ಹಾಳು!
ಹಲ್ಲು ಕಡಿಯುವ ಸಮಸ್ಯೆಯ ಲಕ್ಷಣಗಳು:
ಹಲ್ಲು ಕಡಿಯುವುದು ಹಲವಾರು ತರದಲ್ಲಿ ನಡೆಯುತ್ತದೆ. ಸಮಾನಾಂತರವಾಗಿ ಗರಗಸದಂತೆ ಕಡಿಯುವುದು, ಕಟ ಕಟ ಎಂದು ಕಡಿಯುವುದು, ಹಿಂದೆ-ಮುಂದೆ ದವಡೆಗಳನ್ನು ಚಲಿಸಿ ಕಡಿಯುವ ಸದ್ದು ಮಾಡುವುದು ಹೀಗೆ ಹಲವು ತರಹದಲ್ಲಿ ಹಲ್ಲುಗಳನ್ನು ಕಡಿಯುವುದನ್ನು ನಾವು ನೋಡಬಹುದು. ಇನ್ನೂ ಕೆಲವರು ಬಲವಾಗಿ ಹಲ್ಲುಗಳನ್ನು ಕಚ್ಚಿ ಹಿಡಿಯುವ ಅಭ್ಯಾಸವನ್ನು ಸಹ ಹೊಂದಿರುತ್ತಾರೆ. ನಿಮಗೆ ಹಲ್ಲು ಕಡಿಯುವ ಅಭ್ಯಾಸವಿದ್ದಲ್ಲಿ ಅದನ್ನು ಸುಲಭವಾಗಿ ಕಂಡು ಹಿಡಿಯಬಹುದು. ರಾತ್ರಿ ನೀವು ಹಲ್ಲು ಕಡಿದಿದ್ದಲ್ಲಿ, ಬೆಳಗ್ಗೆ ತಲೆನೋವು ಮತ್ತು ದವಡೆ ನೋವಿನ ಸಮಸ್ಯೆ ನಿಮ್ಮಲ್ಲಿ ಕಂಡು ಬರುತ್ತದೆ.
ಹಲ್ಲು ಕಡಿಯುವ ಸಮಸ್ಯೆಯ ಹಿಂದಿನ ಕಾರಣಗಳು:
ಹಲ್ಲು ಕಡಿಯುವ ಸಮಸ್ಯೆಯನ್ನು ವೈಧ್ಯಕೀಯ ಶಾಸ್ತ್ರದಲ್ಲಿ ಬ್ರೂಕ್ಸಿಸಂ ಎಂದು ಕರೆಯುತ್ತಾರೆ. ಇದಕ್ಕೆ ಇರುವ ಕಾರಣಗಳು ಚರ್ಚಾಸ್ಪದವಾಗಿವೆ. ಮಾನಸಿಕ ಒತ್ತಡವೆ ಇದಕ್ಕೆ ಪ್ರಮುಖ ಕಾರಣ ಎಂದು ದೋಷಾರೋಪಣೆಯನ್ನು ಹೊರಿಸಲಾಗುತ್ತದೆ. ಆದರೂ ಸಹ ಅಂಕು ಡೊಂಕಾದ ಹಲ್ಲುಗಳು ಅಥವಾ ಬೆಳೆಯದ ಹಲ್ಲುಗಳು ಸಹ ಇದಕ್ಕೆ ಕಾರಣ ಎಂದು ಹೇಳಲಾಗುತ್ತದೆ.
ಪರಿಹಾರಗಳು:
ಈ ಸಮಸ್ಯೆಗೆ ದಂತ ವೈಧ್ಯರು ಟೂಥ್ ಗಾರ್ಡ್ ನೀಡುತ್ತಾರೆ. ಈ ಸಮಸ್ಯೆಯು ವಿಕೋಪಕ್ಕೆ ಹೋದಾಗ ರೂಟ್ ಕೆನಾಲ್, ಕ್ರೌನ್, ಬ್ರಿಡ್ಜ್, ದಂತ ಕಸಿ ಅಥವಾ ಹಲ್ಲುಗಳ ಸಾಲನ್ನು ಸರಿಪಡಿಸುವ ಮೂಲಕ ಚಿಕಿತ್ಸೆಯನ್ನು ನೀಡುತ್ತಾರೆ. ಅದಕ್ಕಾಗಿ ನಿಮ್ಮ ಸಂಗಾತಿ ಹಲ್ಲು ಕಡಿಯುವ ಸಮಸ್ಯೆ ನಿಮಗೆ ಪ್ರತಿನಿತ್ಯ ಇದೆ ಎಂದು ದೂರಿದಾಗ, ತಡ ಮಾಡದೆ ದಂತ ವೈಧ್ಯರ ಬಳಿ ಪರೀಕ್ಷಿಸಿ.
ಮಲಗುವ ಮುಂಚೆ ಹೀಗೆ ಮಾಡಲು ಮರೆಯದಿರಿ
ಯಾವುದನ್ನು ನಿಯಂತ್ರಿಸಬೇಕು:
ಮೊದಲು ಒತ್ತಡವನ್ನು ನಿಯಂತ್ರಿಸಿ, ಸಾಧ್ಯವಾದಷ್ಟು ನಿತ್ಯವು ವ್ಯಾಯಾಮ ಅಥವಾ ಧ್ಯಾನ ಮಾಡುವುದನ್ನು ರೂಢಿಸಿಕೊಂಡು ಒತ್ತಡವನ್ನು ನಿಭಾಯಿಸಿ. ಎರಡನೆಯದಾಗಿ ನಿಮ್ಮ ಜೀವನ ಶೈಲಿಯಲ್ಲಿ ಬದಲಾವಣೆಗಳನ್ನು ತನ್ನಿ. ಕಾಫಿ, ಕೆಫಿನ್ ಮತ್ತು ಆಲ್ಕೋಹಾಲ್ನಂತಹ ಪೇಯಗಳನ್ನು ಸೇವಿಸುವುದನ್ನು ಬಿಟ್ಟು ಬಿಡಿ. ಆಹಾರವಲ್ಲದ ಪದಾರ್ಥಗಳನ್ನು ಅಂದರೆ ಚ್ಯೂಯಿಂಗ್ ಗಮ್ನಂತಹ ಪದಾರ್ಥಗಳನ್ನು ಸೇವಿಸುವುದನ್ನು ಬಿಟ್ಟು ಬಿಡಿ. ಬಾಯಿಯ ಆರೋಗ್ಯವನ್ನು ಹಾಳು ಮಾಡುವಂತಹ ಅಭ್ಯಾಸಗಳನ್ನು ಬಿಟ್ಟು ಬಿಡಿ.
Disclaimer: ಈ ಲೇಖನದಲ್ಲಿ ಒದಗಿಸಲಾದ ಮಾಹಿತಿಯು ಸಾಮಾನ್ಯ ಮಾಹಿತಿ ಮತ್ತು ಶೈಕ್ಷಣಿಕ ಉದ್ದೇಶಗಳಿಗಾಗಿ ಮಾತ್ರವಾಗಿದೆ. ವೃತ್ತಿಪರ ವೈದ್ಯಕೀಯ ಸಲಹೆ, ರೋಗನಿರ್ಣಯ ಅಥವಾ ಚಿಕಿತ್ಸೆಗೆ ಪರ್ಯಾಯವಾಗಿ ಇದನ್ನು ದೃಢೀಕರಿಸಿಲ್ಲ. ವೈದ್ಯಕೀಯ ಸ್ಥಿತಿಯ ಕುರಿತು ನೀವು ಹೊಂದಿರುವ ಯಾವುದೇ ಪ್ರಶ್ನೆಗಳಿಗೆ ಯಾವಾಗಲೂ ನಿಮ್ಮ ವೈದ್ಯರು ಅಥವಾ ಅರ್ಹ ಆರೋಗ್ಯ ಸಿಬ್ಬಂದಿಯ ಸಲಹೆಯನ್ನು ಪಡೆಯಿರಿ.



Click it and Unblock the Notifications









