Latest Updates
-
ಆರ್ಬಿಐ ಹೊಸ ಆಟೋ-ಪೇ ನಿಯಮ: ನಿಮ್ಮ OTT ಮತ್ತು SIP ಪಾವತಿಗಳು ಸ್ಥಗಿತಗೊಳ್ಳುವ ಮುನ್ನ ಎಚ್ಚೆತ್ತುಕೊಳ್ಳಿ! -
ಸುಡುವ ಬಿಸಿಲಲ್ಲೂ ಮನೆ ತಂಪಾಗಿರಬೇಕೆ? ಕಡಿಮೆ ಖರ್ಚಿನಲ್ಲಿ ಕೂಲರ್ ಇಲ್ಲದೆ ತಂಪಾಗಿಸಲು ಇಲ್ಲಿದೆ ಮ್ಯಾಜಿಕ್ ಟಿಪ್ಸ್! -
ಬಿಸಿಲಿನ ಅಲೆ: ಸುಡುವ ಬಿಸಿಲಿನಲ್ಲಿ ನಿಮ್ಮ ಆರೋಗ್ಯ ಕಾಪಾಡಿಕೊಳ್ಳಲು ಈ ಪಾನೀಯಗಳೇ ಮದ್ದು! -
ಬಿಸಿಲ ಧಗೆಗೆ ಕಂಗಾಲಾಗಿದ್ದೀರಾ? ಸ್ಟೈಲಿಶ್ ಆಗಿ ಕೂಲ್ ಆಗಿರಲು ಇಲ್ಲಿದೆ ವೈರಲ್ ಸಮ್ಮರ್ ಹ್ಯಾಕ್ಸ್! -
ಬಿಸಿಗಾಳಿಯ ಅಬ್ಬರ: ಫಿಟ್ನೆಸ್ ಕಾಪಾಡಿಕೊಳ್ಳಲು ನಿಮ್ಮ ವರ್ಕೌಟ್ ಸಮಯ ಬದಲಾಯಿಸುವುದು ಅನಿವಾರ್ಯವೇ? -
ಡೇಟಿಂಗ್ ಆ್ಯಪ್ಗಳಲ್ಲಿ ಪ್ರೀತಿಯ ಬಲೆ: ಎಐ ಡೀಪ್ಫೇಕ್ ವಂಚನೆಯಿಂದ ಪಾರಾಗುವುದು ಹೇಗೆ? -
ಬಿಸಿಲ ಬೇಗೆಯಿಂದ ತತ್ತರಿಸಿದ್ದೀರಾ? ಎಸಿ ಇಲ್ಲದೆಯೇ ನಿಮ್ಮ ಮನೆಯನ್ನು ತಂಪಾಗಿಡಲು ಇಲ್ಲಿದೆ ಮ್ಯಾಜಿಕ್ ಟಿಪ್ಸ್! -
ಅಶ್ವಗಂಧದ ಎಲೆಗಳ ಬಳಕೆ ನಿಷೇಧ: ನಿಮ್ಮ ನೆಚ್ಚಿನ ಹೆಲ್ತ್ ಸಪ್ಲಿಮೆಂಟ್ಸ್ ಮಾರುಕಟ್ಟೆಯಿಂದ ಮಾಯವಾಗುತ್ತಾ? -
ಬಿಸಿಗಾಳಿಯ ಅಬ್ಬರ: ಸುಡುವ ಬಿಸಿಲಿನಲ್ಲಿ ಆರೋಗ್ಯ ಮತ್ತು ಫಿಟ್ನೆಸ್ ಕಾಪಾಡಿಕೊಳ್ಳುವುದು ಹೇಗೆ? -
ದೆಹಲಿ ಬಿಸಿಲಿನಲ್ಲಿ ಮದುವೆ ಸಂಭ್ರಮ: ಹೀಟ್ವೇವ್ ನಡುವೆ ನಿಮ್ಮ ಮದುವೆ ಪ್ಲಾನ್ ಬದಲಾಯಿಸುವುದು ಹೇಗೆ?
ಅಚ್ಚರಿಯ ಜಗತ್ತು: ಇವರು ಕೈಗೆ ಸಿಕ್ಕಿದನ್ನೆಲ್ಲಾ ತಿಂದು ಬಿಡುತ್ತಾರೆ!
ಆಡು ಮುಟ್ಟದ ಸೊಪ್ಪಿಲ್ಲ ಎನ್ನುವುದೊಂದು ಗಾದೆ. ವಾಸ್ತವವಾಗಿ ಮನುಷ್ಯರು ತಿನ್ನುವ ಆಹಾರವಸ್ತುಗಳನ್ನು ಪಟ್ಟಿ ಮಾಡಿದರೆ ಆಡು ಸಹಾ ನಾಚಿಕೆಪಟ್ಟು ಓಡಿಹೋಗಬೇಕು, ಅಷ್ಟಿವೆ. ಸೊಪ್ಪುಗಳು, ಮರದ ಚೆಕ್ಕೆ, ಮೊಗ್ಗು, ಹೂವು, ಬೇರು, ಹಣ್ಣು, ಹಣ್ಣಿನ ಸಿಪ್ಪೆ, ಗೊರಟು, ಏಕದಳ,ದ್ವಿದಳ ಧಾನ್ಯಗಳು, ತರಕಾರಿಗಳು, ಎಣ್ಣೆ ಇತ್ಯಾದಿಗಳೆಲ್ಲಾ ಸಸ್ಯಜನ್ಯವಾದರೆ ವಿವಿಧ ಪ್ರಾಣಿಗಳ ಮಾಂಸ ಮತ್ತು ಇತರ ಭಾಗಗಳನ್ನೂ ಮನುಷ್ಯರು ಆಹಾರರೂಪದಲ್ಲಿ ಸೇವಿಸುತ್ತಾ ಬಂದಿದ್ದಾರೆ. ಅಷ್ಟೇ ಏಕೆ, ವಿಷವೆಂದು ತಿಳಿದರೂ ಆಹಾರದ ಮೂಲಕ, ನರಕ್ಕೆ ಚುಚ್ಚಿಕೊಳ್ಳುವ ಇಂಜೆಕ್ಷನ್ ಮೂಲಕ ಸೇವಿಸಿ ವ್ಯಸನಿಗಳಾಗುತ್ತಾರೆ.
ಆದರೆ ನಮ್ಮ ಜಗತ್ತಿನಲ್ಲಿ ಕೆಲವು ಭಯಂಕರರಿದ್ದಾರೆ. ಇವರು ನಾವು ಯಾರೂ ಊಹಿಸದ, ಬಾಯಿಗಿಟ್ಟುಕೊಳ್ಳಲೂ ಅಸಹ್ಯಪಡುವ ವಸ್ತು, ಕ್ರಿಮಿ, ಜೀವಿಗಳನ್ನು ಕರಕರನೇ ಅಗಿದು ನುಂಗುತ್ತಾರೆ. ಈ ಪರಿ ನೋಡಿದರೆ ಈ ಹುಚ್ಚರು ನಿಜವಾಗಿಯೂ ಮನುಷ್ಯರೇ ಅಥವಾ ಮನುಷ್ಯರೂಪ ಧರಿಸಿದ ಅನ್ಯಗ್ರಹಜೀವಿಗಳೇ ಎಂಬ ಅನುಮಾನ ಮೂಡುತ್ತದೆ.
ಇಂತಹ ರೋಚಕವಾದ ಪ್ರಕರಣಗಳನ್ನು ಕೆಳಗಿನ ಸ್ಲೈಡ್ ಶೋ ಮೂಲಕ ಪ್ರಸ್ತುತಪಡಿಸಲು ಬೋಲ್ಡ್ ಸ್ಕೈ ತಂಡ ಹರ್ಷಿಸುತ್ತದೆ. ಓದುಗರಲ್ಲಿ ಎಚ್ಚರಿಸುವುದೇನೆಂದರೆ ಇವುಗಳಲ್ಲಿ ಯಾವುದೇ ಕ್ರಮವನ್ನು ದಯವಿಟ್ಟು ಅನುಸರಿಸಲು ಹೋಗಲೇಬೇಡಿ. ಕೆಲವು ಪ್ರಕರಣಗಳು ಬೇಕೆಂದೇ ಜನರು ಸೇವಿಸುತ್ತಿದ್ದರೆ ಇನ್ನುಳಿದವು ಆಕಸ್ಮಿಕವಾಗಿ ಹೊಟ್ಟೆಯಲ್ಲಿ ಸಿಕ್ಕಂತಹವು. ಇವುಗಳಲ್ಲಿ ಬ್ಯಾಟರಿ, ಗಾಜಿನ ಚೂರು ಮೊದಲಾದವುಗಳೆಲ್ಲಾ ಸೇರಿವೆ. ಈ ಬಗ್ಗೆ ನಿಮಗೆ ಏನಿನಿಸಿತು ಎಂಬುದನ್ನು ನಮಗೆ ಖಂಡಿತಾ ತಿಳಿಸಿ, ಇದಕ್ಕಾಗಿ ಕೆಳಗಿನ ಕಮೆಂಟ್ಸ್ ಭಾಗವನ್ನು ಬಳಸಿಕೊಳ್ಳಿ...

ಆಯಸ್ಕಾಂತ
ರಷ್ಯಾದ ಚೆಲಿಯಾಬಿನ್ಸ್ಕ್ (Chelyabinsk) ಎಂಬ ಊರಿನ ಆಸ್ಪತ್ರೆಯ ಮಕ್ಕಳ ತಜ್ಞವೈದ್ಯರಾದ ಡಾ. Nikolay Rostovtsev ಎಂಬುವವರಿಗೆ 2013ರ ಪ್ರೇಮಿಗಳ ದಿನ ವಿಭಿನ್ನವಾಗಿ ಆಚರಿಸಬೇಕಾಗಿ ಬಂದಿತ್ತು. ಫೆಭ್ರವರಿಯಲ್ಲಿ ಅವರ ಬಳಿ ಹದಿನಾರು ತಿಂಗಳ ಮಗುವೊಂದನ್ನು ಕರೆದುಕೊಂಡು ಬರಲಾಗಿತ್ತು. ಈ ಮಗು ಫ್ರಿಜ್ಜಿಗೆ ಅಂಟಿಸುವ ಚಿಕ್ಕ ಚಿಕ್ಕ ಆಯಸ್ಕಾಂತಗಳನ್ನೆಲ್ಲಾ ಒಂದೊಂದಾಗಿ ನುಂಗಿತ್ತು. ಎಕ್ಸ್ ರೇ ಯಲ್ಲಿ ಇದು ಸ್ಪಷ್ಟವಾಗಿ ಕಂಡ ಬಳಿಕ ಅನಿವಾರ್ಯವಾಗಿ ವೈದ್ಯರು ಶಸ್ತ್ರಕ್ರಿಯೆ ನಡೆಸಿ ಒಟ್ಟು ನಲವತ್ತೆರಡು ಚಿಕ್ಕಚಿಕ್ಕ ಆಯಸ್ಕಾಂಗಳನ್ನು ಹೊರತೆಗೆದರು. ಮುಂದಿನ ಸ್ಲೈಡ್ ಕ್ಲಿಕ್ ಮಾಡಿ
Image courtesy

ಆಯಸ್ಕಾಂತ
ಮಗುವನ್ನು ಅಡುಗೆ ಮನೆಯಲ್ಲಿ ಆಟವಾಡಲು ಬಿಟ್ಟು ತನ್ನ ಕೆಲಸಕ್ಕೆ ಹೋದ ತಾಯಿ ಹಿಂದಿರುಗಿ ಬಂದಾಗ ಅಲ್ಲಿದ್ದಾ ಚಿಕ್ಕ ಆಯಸ್ಕಾಂತಗಳೆಲ್ಲಾ ಕಾಣೆಯಾಗಿದ್ದು ದುಗುಡಕ್ಕೆ ಕಾರಣವಾಗಿತ್ತು. ತಕ್ಷಣ ಸಮೀಪದ ಆಸ್ಪತ್ರೆಗೆ ಕರೆದುಕೊಂಡು ಹೋಗಿ ಎಕ್ಸ್ ರೇ ತೆಗೆಸಿ ಆಯಸ್ಕಾಂತಗಳು ಇರುವುದು ಕಂಡುಬಂದ ಬಳಿಕ ದೊಡ್ಡಾಸ್ಪತ್ರೆಗೆ ಕರೆದೊಯ್ಯಲಾಗಿತ್ತು.

ಹೊಟ್ಟೆಯಲ್ಲಿ ಚಮಚ..!
ನೆದರ್ಲ್ಯಾಂಡ್ ದೇಶದ ಮಾರ್ಗರೆಟ್ ಡಾಲ್ಮನ್ ಎಂಬ ಮಹಿಳೆಯೊಬ್ಬರು ತಮ್ಮ ಹೊಟ್ಟೆಯಲ್ಲಿ ಏನೋ ಚುಚ್ಚಿದಂತಾಗುತ್ತದೆ ಎಂಬ ದೂರು ಹೇಳಿಕೊಂಡು ವೈದ್ಯರ ಬಳಿ ಬಂದಿದ್ದರು. ನೋವಿಗೇನು ಕಾರಣ ಎಂದು ಎಕ್ಸ್ ರೇ ಮೂಲಕ ಪರೀಕ್ಷಿಸಿದ ವೈದ್ಯರಿಗೆ ಆಘಾತ ಕಾದಿತ್ತು. ಏಕೆಂದರೆ ಈಕೆಯ ಹೊಟ್ಟೆಯಲ್ಲಿ ಒಂದು ಸೆಟ್ ಭರ್ತಿಗೊಳಿಸುವಷ್ಟು ಚಮಚಗಳು ಮತ್ತು ಮೂರು ಮುಳ್ಳಿನ ಚಮಚ (fork)ಗಳಿದ್ದವು. ಅಲ್ಲದೇ ಇನ್ನೂ ಹಲವು ಚಿಕ್ಕಪುಟ್ಟ ಪರಡಿಗಳೂ ಇದ್ದವು. ಎಲ್ಲವನ್ನೂ ಶಸ್ತ್ರಚಿಕಿತ್ಸೆಯ ಮೂಲಕ ಹೊರತೆಗೆದ ವೈದ್ಯರಿಗೆ ಒಟ್ಟು 72 ಭಿನ್ನವಿಧದ ಪರಡಿಗಳಿದ್ದುದು ಲೆಕ್ಕಕ್ಕೆ ಸಿಕ್ಕಿತ್ತು.
Image courtesy

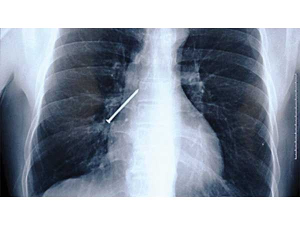
ಮೊಳೆ
ಚೀನಾದ Li Xiangyang ಎಂಬ ಈ ಬಡಗಿ ಅಕಸ್ಮಾತ್ತಾಗಿ ಮೊಳೆಯನ್ನು ನುಂಗಿಬಿಟ್ಟಿದ್ದ. ಸಾಮಾನ್ಯವಾಗಿ ಬಡಗಿ ಮತ್ತಿತರ ಕೆಲಸಗಾರರು ಎತ್ತರದ ಸ್ಥಳಗಳಲ್ಲಿ ಕೆಲಸ ಮಾಡುವಾಗ ಅಗತ್ಯವಿದ್ದ ಮೊಳೆ, ಸ್ಕ್ರೂಮೊದಲಾದವುಗಳನ್ನು ಹಲ್ಲಿನಲ್ಲಿ ಕಚ್ಚಿಕೊಂಡು ಒಂದಾದ ನಂತರ ಇನ್ನೊಂದನ್ನು ಹೊಡೆಯುತ್ತಾ ಹೋಗುತ್ತಾರೆ. ಹೀಗೇ ಒಂದು ಮೊಳೆ ಇದ್ದಾಗ ಯಾವುದೋ ಯೋಚನೆಯ ಗಡಿಬಿಡಿಯಲ್ಲಿ ಮೊಳೆ ನೇರವಾಗಿ ಗಂಟಲಿಗೆ ಇಳಿದು ಅಡ್ಡಲಾಗಿ ಚುಚ್ಚಿ ಅನ್ನನಾಳವನ್ನು ಹರಿದು ಶ್ವಾಸಕೋಶಕ್ಕೆ ಚುಚ್ಚಿಕೊಂಡುಬಿಟ್ಟಿತ್ತು. ತಕ್ಷಣ ಆಸ್ಪತ್ರೆಗೆ ಕರೆದೊಯ್ದು ಶಸ್ತ್ರಚಿಕಿತ್ಸೆಯ ಮೂಲಕ ಮೊಳೆಯನ್ನು ಹೊರತೆಗೆದ ಬಳಿಕ ಈತ ಚೇತರಿಸಿಕೊಂಡಿದ್ದಾನೆ.
Image courtesy

ಕೈಬಾಂಬು (Hand Grenade)
ರಾಜೀವ್ ಗಾಂಧಿಯವರನ್ನು ಹತ್ಯೆಮಾಡಿದ ಆತ್ಮಹತ್ಯಾದಳದಂತಹ ಪಂಗಡಕ್ಕೆ ಸೇರಿದ್ದ ತಿಳಿಗೇಡಿಯೊಬ್ಬನಿಗೆ ಜನನಿಬಿಡ ಸ್ಥಳಕ್ಕೆ ಸುರಕ್ಷಾ ಸಿಬ್ಬಂದಿಯ ಕಣ್ಣು ತಪ್ಪಿಸಿ ಕೈಬಾಂಬೊಂದನ್ನು ಕೊಂಡುಹೋಗುವ ವಿಚಾರ ಹೊಳೆಯಿತು. ಅದೇ ಕೈಬಾಂಬನ್ನು ನುಂಗಿಕೊಂಡು ಹೋಗುವುದು. ಅಂತೆಯೇ ನುಂಗಿಯೇಬಿಟ್ಟ. ಮುಂದಿನ ಸ್ಲೈಡ್ ಕ್ಲಿಕ್ ಮಾಡಿ
Image courtesy

ಕೈಬಾಂಬು (Hand Grenade)
ಆದರೆ ಇದನ್ನು ಸ್ಟೋಟಿಸಲು ಇದರ ಪಿನ್ ಎಳೆಯುವುದು ಹೇಗೆ? ಇದರ ಬಗ್ಗೆ ತಲೆಕೆಡಿಸಿಕೊಳ್ಳುತ್ತಿದ್ದಾಗಲೇ ಸುರಕ್ಷಾ ದಳದವರ ಕೈಗೆ ಸಿಕ್ಕಿಬಿದ್ದು ಬಳಿಕ ತಪಾಸಣೆಯಲ್ಲಿ ಹೊಟ್ಟೆಯಲ್ಲಿ ಕೈಬಾಂಬ್ ಇದ್ದುದು ಪತ್ತೆಯಾಯಿತು. ಬಳಿಕ ಇದನ್ನು ಶಸ್ತ್ರಕ್ರಿಯೆಯಿಂದ ಹೊರತೆಗೆಯಲಾಯಿತು.

ಜೀವಂತ ಈಲ್ ಮೀನು
ಚೀನಾದ ಮನುಷ್ಯನೊಬ್ಬನಿಗೆ ವಿಚಿತ್ರ ಕಾಮುಕ ಕಲ್ಪನೆಗಳು ಮೂಡಿ ಭಿನ್ನವಿಧದ ಪ್ರಯತ್ನಗಳನ್ನು ನಡೆಸುತ್ತಿದ್ದ. ಇದರಲ್ಲೊಂದು ವಿಧಾನವೆಂದರೆ ಎಲೆಕ್ಟ್ರಿಕ್ ಆಘಾತ ನೀಡುವ ಈಲ್ ಮೀನನ್ನು ಆಸನದ್ವಾರದಿಂದ ತೂರಿಸಿಕೊಳ್ಳುವುದು. ಕಲ್ಪನೆಯನ್ನು ನಿಜವಾಗಿಸಿಕೊಳ್ಳುವವನಿಗೆ ಆಘಾತವಾಗಿದ್ದು ಈ ಮೀನು ಬಿಲವನ್ನು ಹೊಕ್ಕಂತೆ ನೇರವಾಗಿ ಮನುಷ್ಯನ ಕರುಳಿನೊಳಗೇ ನುಗ್ಗಿಬಿಟ್ಟು ಆರಾಮವಾಗಿ ಮನೆಮಾಡಿಕೊಂಡಿತ್ತು. ಗಾಬರಿಬಿದ್ದ ಈ ಕಾಮುಕ ನೇರವಾಗಿ ವೈದ್ಯರ ಬಳಿ ಬಂದ. ಬಿಲದಲ್ಲಿ ಉಪಕರಣವನ್ನು ತೂರಿಸಿ ಮೀನನ್ನು ಹೊರತೆಗೆದ ವೈದ್ಯರಿಗೆ ಇನ್ನೊಂದು ಆಘಾತ ಕಾದಿತ್ತು. ಈ ಮೀನು ಆಗ ಜೀವಂತವಾಗಿದ್ದು ಒದ್ದಾಡುತ್ತಿತ್ತು. ಆದರೆ ಹೊರತೆಗೆದ ಕೆಲವೇ ಕ್ಷಣಗಳ ಬಳಿಕ ಸತ್ತು ಹೋಯಿತು. ಅಲ್ಲೇ ಬಿಟ್ಟಿದ್ದರೆ ಅದರ ಆಯಸ್ಸು ಇನ್ನಷ್ಟು ಹೆಚ್ಚುತ್ತಿತ್ತೇನೋ!
Image courtesy

ಲೈಟ್ ಬಲ್ಬು
ಪಾಕಿಸ್ತಾನದ ಮುಲ್ತಾನ್ ನಗರದಲ್ಲಿ ಮದ್ಯ ತಯಾರಿಸಿದ ಆರೋಪದ ಮೇಲೆ ಫತೆಹ್ ಮೊಹಮ್ಮದ್ ಎಂಬಾತನನ್ನು ಜೈಲಿಗೆ ಹಾಕಲಾಗಿತ್ತು. ಪಾಕಿಸ್ತಾನದಲ್ಲಿ ಮದ್ಯ ತಯಾರಿಸುವುದೂ, ಸೇವಿಸುವುದೂ ಶಿಕ್ಷಾರ್ಹ ಅಪರಾಧವಾಗಿದೆ. ಈ ನಡುವೆ ಒಮ್ಮೆ ಬೆಳಿಗ್ಗೆ ಎದ್ದಾಗ ಆತನ ಆಸನದ್ವಾರದಲ್ಲಿ ಏನನ್ನೋ ಬಲವಂತವಾಗಿ ತುರುಕಿಸಿದ್ದುದು ಕಂಡುಬಂದಿತು. ಈತನನ್ನು ಪರೀಕ್ಷಿಸಿದ ಕಾರಾಗೃಹದ ವೈದ್ಯರು ಒಳಗೆ ಬಲ್ಬ್ ಒಂದದ ಭಾಗ ಇರುವುದನ್ನು ಕಂಡು ಅವಾಕ್ಕಾಗಿ ತಕ್ಷಣ ಮುಲ್ತಾನ್ ನ ನಿಶ್ತಾರ್ ಆಸ್ಪತ್ರೆಗೆ ಕಳುಹಿಸಿಕೊಟ್ಟರು. ಮುಂದಿನ ಸ್ಲೈಡ್ ಕ್ಲಿಕ್ ಮಾಡಿ
Image courtesy

ಲೈಟ್ ಬಲ್ಬು
ಅಲ್ಲಿ ಉಪಸ್ಥಿತರಿದ್ದ ತಜ್ಞವೈದ್ಯ ಡಾ. ಫಾರುಖ್ ಆಫ್ತಾಬ್ ತಕ್ಷಣವೇ ಶಸ್ತ್ರಕ್ರಿಯೆಯ ಮೂಲಕ ಬಲ್ಬ್ ಒಡೆಯದಂತೆಯೇ ಹೊರತೆಗೆಯಲು ಯಶಸ್ವಿಯಾದರು. ಏಕೆಂದರೆ ಮಾಂಸಖಂಡಗಳ ಒತ್ತಡದಿಂದ ಒಂದು ವೇಳೆ ಬಲ್ಬ್ ಒಡೆದರೆ ಅದರ ಚೂರುಗಳೆಲ್ಲಾ ಕರುಳನ್ನು ಛಿದ್ರವಾಗಿಸುವ ಸಂಭವವಿತ್ತು. ಅಚ್ಚರಿ ಎಂದರೆ ಇದು ಈತನೊಳಗೆ ಬಂದಿದ್ದಾದರೂ ಹೇಗೆ ಎಂಬುದಕ್ಕೆ ಈತನಲ್ಲಿ ಯಾವುದೇ ಉತ್ತರವಿಲ್ಲ. ಬಹುಷಃ ಯಾರೋ ಸೇಡು ತೀರಿಸಿಕೊಳ್ಳಲು ಈ ಕ್ರಮ ಕೈಗೊಂಡಿರಬಹುದು ಎಂದು ಪೋಲೀಸರು ಅನುಮಾನಿಸಿದ್ದಾರೆ.

ಚಮಚ
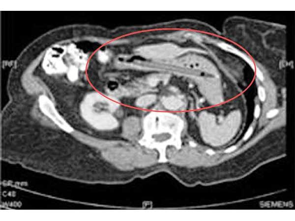
ಊಟ ಮಾಡುವಾಗ ಅಕಸ್ಮಾತಾಗಿ ಮೀನಿನ ಮುಳ್ಳೊಂದನ್ನು ಗಂಟಲಿನಿಂದ ಹೊರತೆಗೆಯಲು ಯತ್ನಿಸಿದ ಮೂವತ್ತಮೂರು ವರ್ಷದ ಮಹಿಳೆಯ ಕೈಜಾರಿ 15ಸೆ. ಮೀ ಉದ್ದದ ಲೋಹದ ಚಮಚವೊಂದು ಒಳಗೆ ಜಾರಿ ಬಿಟ್ಟಿತ್ತು. ಸುಮಾರು ಇಪ್ಪತ್ತು ಘಂಟೆಗಳ ಕಾಲದಲ್ಲಿ ಚಮಚ ಹೊಟ್ಟೆ ದಾಟಿ ಚಿಕ್ಕಕರುಳಿನ ನಡುವಿನಲ್ಲಿರುವ jejunum ಎಂಬ ಭಾಗದವರೆಗೆ ದಾಟಿತ್ತು. ಬಳಿಕ ಶಸ್ತ್ರಕ್ರಿಯೆ ನಡೆಸಿ ಚಮಚವನ್ನು ಹೊರತೆಗೆಯಲಾಯ್ತು.

ಮಾದಕ ಪದಾರ್ಥಗಳು
ಮಾದಕ ಪದಾರ್ಥಗಳನ್ನು ಕಳ್ಳಸಾಗಣೆ ಮಾಡುವ ಸಾಮಾನ್ಯವಾದ ಈ ವಿಧಾನದಲ್ಲಿ ಹೊಟ್ಟೆಯಲ್ಲಿ ಕರಗಲಾರದ ರಬ್ಬರಿನಂತಹ ವಸ್ತುವಿನಿಂದ ಚಿಕ್ಕ ಕ್ಯಾಪ್ಯೂಲುಗಳನ್ನು ತಯಾರಿಸಿ ಇದರಲ್ಲಿ ಮಾದಕ ಪದಾರ್ಥ ತುಂಬಿ ನುಂಗಿ ಬಿಡುತ್ತಾರೆ. ವಿಮಾನದ ಪ್ರಯಾಣದ ಬಳಿಕ ಬಹಿರ್ದೆಶೆಯಲ್ಲಿ ಜೀರ್ಣಗೊಳ್ಳದೇ ಹೊರಬಂದ ಈ ಗುಳಿಗೆಗಳನ್ನು ಮತ್ತೆ ಸಂಗ್ರಹಿಸುತ್ತಾರೆ. ಮಲೇಶ್ಯಾದಲ್ಲಿ ಇದೇ ವಿಧಾನವನ್ನು ಅನುಸರಿಸಿ methamphetamine ಎಂಬ ಮಾದಕ ಪದಾರ್ಥವನ್ನು ಕಳ್ಳಸಾಗಣೆಗೊಳಿಸಲು ಯತ್ನಿಸುತ್ತಿದ್ದ ನೈಜೀರಿಯಾದ ನಾಗರಿಕರೊಬ್ಬರನ್ನು ಬಂಧಿಸಿ ಅವರಿಂದ 52 ಗುಳಿಗೆಗಳನ್ನು ಸಂಗ್ರಹಿಲಾಯಿತು.

ಬ್ಯಾಟರಿಗಳು
ಮಕ್ಕಳು ವರ್ಷವಾಗುತ್ತಲೇ ನಡೆಯಲು ಪ್ರಾರಂಭಿಸುತ್ತವೆ. ಅಲ್ಲದೇ ನಿಂತ ಬಳಿಕ ಕೈಗೆ ಸಿಕ್ಕ ಏನನ್ನೂ ಬಾಯಿಗೆ ಹಾಕಿಕೊಳ್ಳುವ ಅಪಾಯವಿರುವುದರಿಂದ ಈ ಸಮಯದಲ್ಲಿ ಮಕ್ಕಳ ಕಡೆಗೆ ಸದಾ ಒಂದು ಗಮನವಿಟ್ಟೇ ಇರಬೇಕಾಗುತ್ತದೆ. ಆದರೆ ಹದಿಮೂರು ತಿಂಗಳ ಮಗುವೊಂದು ಅರಿಯದೇ ಬ್ಯಾಟರಿಯೊಂದನ್ನು ನುಂಗಿ ಇದರಲ್ಲಿದ್ದ ವಿಷಪದಾರ್ಥ ಹೊಟ್ಟೆಯಲ್ಲಿ ಹೊರಬರದ ಕಾರಣ ಮರಣವನ್ನಿಪ್ಪಿದ್ದು ಮಾತ್ರ ಅತ್ಯಂತ ಶೋಚನೀಯ ಸ್ಥಿತಿಯಾಗಿದೆ.
Image courtesy

ಪೆನ್ನು
ಮಕ್ಕಳಂತೆಯೇ ವೃದ್ಧರನ್ನೂ ಚಿಕ್ಕಮಕ್ಕಳ ರೀತಿಯಲ್ಲಿಯೇ ಆರೈಕೆ ಮಾಡಬೇಕಾಗಿ ಬರುತ್ತದೆ. British Medical Journal ನಲ್ಲಿ ಪ್ರಕಟವಾದ ವರದಿಯ ಪ್ರಕಾರ ಬ್ರಿಟನ್ನಿನ 76 ವರ್ಷದ ಹಿರಿಯ ಅಜ್ಜಿಯೊಬ್ಬರು 1986ರಲ್ಲಿ ತನ್ನ ಟಾನ್ಸಿಲ್ ಗಳನ್ನು ಪರೀಕ್ಷಿಸಲು ಪೆನ್ನೊಂದನ್ನು ಉಪಯೋಗಿಸುತ್ತಿದ್ದಾಗ ಅಕಸ್ಮಾತ್ತಾಗಿ ಜಾರಿಬಿದ್ದ ಪರಿಣಾಮವಾಗಿ ನೇರವಾಗಿ ಹೊಟ್ಟೆಗೆ ಹೋಗಿತ್ತಂತೆ. ಅಂದು ವೈದ್ಯರಾಗಿದ್ದ ಆಕೆಯ ಪತಿ ಎಕ್ಸ್ ರೇ ಮೂಲಕ ಪರೀಕ್ಷಿಸಿದ್ದರೂ ಸಿಕ್ಕಿರದಿದ್ದ ಈ ಪೆನ್ನು ಹೊಟ್ಟೆಯಲ್ಲಿಯೇ ಯಾವುದೋ ಅಂಚುಗಳನ್ನು ಭದ್ರವಾಗಿ ಹಿಡಿದು ಮುಂದೆ ಹೋಗದೇ ಕಚ್ಚಿಕೊಂಡಿತ್ತು.
Image courtesy

ಪೆನ್ನು
ಎಷ್ಟು ದಿನ ಎಂದರೆ ಬರೋಬ್ಬರಿ ಇಪ್ಪತ್ತೈದು ವರ್ಷಗಳ ಕಾಲ. 2011ರಲ್ಲಿ ಬೇರಾವುದೋ ತೊಂದರೆಗೆ ಎಕ್ಸ್ ರೇ ಮೂಲಕ ಹೊಟ್ಟೆಯನ್ನು ಪರೀಕ್ಷಿಸಿದ ವೈದ್ಯರಾದ ಡಾ. ಆಲಿವರ್ ವಾಟರ್ಸ್ ರಿಗೆ ಇದರೊಳಗೊಂದು ಪೆನ್ನು ಇರುವುದು ಆಘಾತ ಮೂಡಿಸಿತ್ತು. ಆದರೆ ಇನ್ನೊಂದು ಆಘಾತ ಮೂಡಿಸಿದ ವಿಷಯವೆಂದರೆ ಈ ಪೆನ್ನನ್ನು ಹೊರತೆಗೆದ ಬಳಿಕ ಪರೀಕ್ಷಿಸಲು ಬರೆದು ನೋಡಿದರೆ ಸುಲಲಿತವಾಗಿ ಬರೆದಿದ್ದು.

ಕೀ
ಮದ್ಯದ ಅಮಲಿನಲ್ಲಿದ್ದ ಈ ಹದಿನೆಂಟು ವರ್ಷದ ಕಂಪ್ಯೂಟರ್ ಡಿಸೈನರ್ ಯುವಕನೊಬ್ಬ ಮನೆಯ ಬೀಗದ ಕೈಯನ್ನು ನುಂಗಿಬಿಟ್ಟಿದ್ದ. ಏಕೆ ಹೀಗೆ ನುಂಗಿದೆ ಎಂದು ಕೇಳಿದ್ದಕ್ಕೆ ತನ್ನ ಸ್ನೇಹಿತ ತನ್ನ ಮನೆಯ ಬೀಗದ ಕೈ ಬಳಸಿ ಒಳಬಂದು ತನ್ನ ಏಕಾಂತವನ್ನೆಲ್ಲಾ ಹಾಳು ಮಾಡುತ್ತಾನೆ, ಅವನಿಗೆ ಸಿಕ್ಕದೇ ಇರಲಿಕ್ಕೆ ಈ ಉಪಾಯ ಎಂದು ಹೇಳಿದ್ದ. ಉಪಾಯವೇನೋ ಚೆನ್ನಾಗಿದೆ ಸರಿ, ಅವನ ಕೈಗೆ ಸಿಗದ ಬೀಗದ ಕೈ ನಿನಗೆ ಹೇಗೆ ಸಿಗುತ್ತದೆ ಎಂದು ಕೇಳಿದ ಬಳಿಕವೇ ಜ್ಞಾನೋದಯವಾದ ಈತ ನೇರವಾಗಿ ವೈದ್ಯರಲ್ಲಿ ಧಾವಿಸಿದ್ದ. ಮುಂದಿನ ಸ್ಲೈಡ್ ಕ್ಲಿಕ್ ಮಾಡಿ
Image courtesy

ಕೀ
ಈತನ ಗೋಳು ಆಲಿಸಿದ ವೈದ್ಯರು ಗಾಬರಿ ಬೇಡ ನಾಳೆವರೆಗೆ ನೋಡು, ನೈಸರ್ಗಿಕವಾಗಿ ಬರದಿದ್ದರೆ ಮುಂದಿನ ಕ್ರಮ ಯೋಚಿಸೋಣ ಎಂದರು. ವೈದ್ಯರ ಅಣಿಕೆಯಂತೆಯೇ ಮೂವತ್ತೊಂದು ಘಂಟೆಗಳ ಬಳಿಕ ಬೀಗದ ಕೈ ಸುರಕ್ಷಿತವಾಗಿ ಹೊರಬಂದಿತ್ತು, ಆದರೆ ಕಪ್ಪಾಗಿ ಪ್ರಾಚೀನ ಕಾಲದ ರೂಪ ಪಡೆದಿತ್ತು.



Click it and Unblock the Notifications











